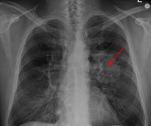
Новый простой тест быстро диагностирует рак легких
Как передает "Российская газета", западные медики предлагают обращаться к паранеопластическому синдрому. Это клинико-лабораторное проявление злокачественной опухоли, обусловленное не ее локальным или метастатическим ростом, а неспецифическими реакциями со стороны различных органов и систем или эктопической продукцией опухолью биологически активных веществ. Данный синдром особенно явно проявляется при мелкоклеточном раке легких.
В частности, одним из маркеров этого расстройства является синдром Ламберта-Итона, характеризующийся ослаблением мышц бедер. При этом синдроме человек может испытывать трудности при подъеме из сидячего положения (когда встает со стула). По мере развития рака позднее начинает проявляться слабость и в мышцах плечевого пояса.
"Менее распространенной проблемой является паранеопластическая мозжечковая дегенерация, которая способна вызвать потерю равновесия и неуверенность в движениях рук и ног, а также проблемы с речью или глотанием. Могут проявляться и такие проблемы нервной системы, как мышечная слабость, изменения чувствительности, проблемы со зрением и даже изменения в поведении", - говорится в отчете.
Читайте также:
- 7 способов снизить вред курения для организма
- Комплекс упражнений для здоровья бронхов и легких
- Чем помочь легким в эпоху плохого воздуха: растительная защита
- Если замучила одышка и совсем нету сил: 8 способов укрепления легких в домашних условиях
- Как удалить бронхиальную слизь и облегчить дыхание: 7 натуральных способов очистки легких
- Чистка легких: как поддерживать здоровье главного фильтра

Присоединяйтесь к нам в социальных сетях