Томограф второго поколения сокращает уровень облучения
Ученые в процессе использования недавно одобренной систему компьютерной томографии сумели значительно сократить уровень облучения у пациентов, подвергающихся коронарной ангиографии.
Результаты опубликованы в издании Radiology.
«Подвергание облучению в процессе диагностики не может не тревожить», - заметил Маркус Чен, ведущий автор исследования из Национальных институтов здоровья в Вифезде. „Сокращение уровня облучения с сохранением качества диагностического сканирования прекрасно достигается с помощью нового компьютерного томографа второго поколения с 320 датчиками“, - сказал он.
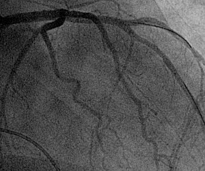
Коронарная ангиография или коронарография — неинвазивное исследование с высокой диагностической точностью. Особенно эффективна и безопасна коронарная ангиография для исключения болезни коронарной артерии у пациентов с острыми болями в груди. Клиническая польза метода ранее была значительно снижена из-за облучения и потенциального развития рака. Новый технологический прогресс позволил существенно обезопасить метод.
Читайте также:
- Лучшие методики диагностики органов ЖКТ
- Радиация и токсические вещества вызывают проблемы со щитовидкой
- Биорастворимый имплант может сократить побочные эффекты облучения
- Аппендицит можно диагностировать с помощью ультразвука
- Лечение лучевой болезни станет более эффективным
- Ученые разработали новый способ получения рентгеновских снимков

Присоединяйтесь к нам в социальных сетях